1000, Ljubljana
Top Storitve
Oralna kirurgija in implantologija Ljubljana
Iskra Dent d.o.o. je zobozdravstvo s tradicijo in več to 30-letnimi izkušnjami, v katerem na prvo mesto postavljamo vaš zadovoljen in zdrav nasmeh.
V ordinaciji delo temelji na strokovnem znanju, ki ga zaposleni redno nadgrajujejo z izobraževanji in dodatnimi specializacijami. Za zaupanje pacientov pa si prizadevamo tudi s spoštovanjem najvišjih strokovnih standardov in etičnih meril.
V zobozdravstvu Iskra Dent d.o.o. v Ljubljani ste deležni celostne, prijazne, hitre obravnave. Opravljamo vse zobozdravstvene storitve. Najsi gre za preventivni pregled ali najzahtevnejše posege s področja oralne kirurgije ter implantologije, zagotovimo vam, da je strah pred zobozdravnikom pri nas popolnoma odveč.
Naročite se še danes pri nas v Ljubljani, kjer vam bomo na prvem pregledu zagotovili:
- brezplačno medicinsko in stomatološko anamnezo
- klični pregled zobovja in ustne votline
- načrt zdravljenja in potrebnih posegov

Oralna kirurgija Ljubljana
Med storitve oralne kirurgije sodijo različne storitve, med drugim
- odstranitev modrostnih zob,
- fenestracija neizraslih zob,
- frenulotomija,
- apikotamija,
- vstavljanje zobnih vsadkov oziroma implantatov,
- podaljšanje klinične krone
- odstranjevanje cist
- ostale operacije v ustni votlini
Kirurške posege v našem zobozdravstvu opravlja dr. dent. med., specialist oralne kirurgije Lovro Iskra.
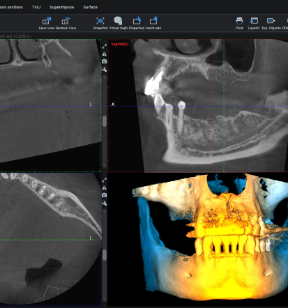
Dobra implantologija Ljubljana
Del zobne kirurgije je tudi implantologija.
Implantati oziroma zobni vsadki že dalj časa v zobozdravstvu predstavljajo izjemno učinkovito ter tudi elegantno rešitev za nadomeščanje izgubljenih zob.
V Iskradent delamo implantate najvišjega kakovostnega razreda (Strauman Group: Strauman in Neodent implantati), ki so v svetu tudi najbolj razširjeni ter tudi vključeni v največ raziskav, ki potrjujejo njihovo uporabo.
All-on-4 implantati Ljubljana
All-on-4 je kirurški poseg, pri katerem vstavimo 4 implantate v eno čeljust, nanjo pa sidramo provizorično konstrukcijo, ki je sidrana na teh implantatih in jo kasneje, po 4 mesecih, zamenja definitivna konstrukcija.
Gre za poseg, med katerim pacient dobi implantate in zobe v istem dnevu.
All-on-4 je fiksna rešitev, največkrat primerna za brezzobe paciente, ki uporabljajo totalno protezo pa tudi v drugih primerih, recimo, če je potrebno odstraniti preostale zobe.
Ali je za vas all-on-4 primerna rešitev, vam bo oralni kirurg zanesljivo povedal na pregledu, kjer vam bo predstavil tudi druge možnosti (all-on-6, implantološka protetika), s katerimi lahko dosežete lep in zdrav nasmeh.

Oralna kirurgija in implantologija Ljubljana, rezervirajte termin zdaj in ne čakajte na maj!
Zanimivo je, da so prve oblike zobnih vsadkov v različnih kulturnih civilizacijah poznane že iz antičnih časov, v honduraških izkopavanjih je bila najdena vretenčasta školjka, vstavljena v čeljust ženske in datirana okoli leta 600 po Kr. Danes pa je tehnologija zobnih vsadkov doživela popoln preobrat, vsadki izdelani iz titana se z integracijo v kost kažejo kot ena najbolj zanesljivih rešitev za nadomestitev izgubljenega zoba.
Oralna kirurgija in implantologija Ljubljana, gre za trend, ki ga poganjata starajoče se prebivalstvo (več ljudi z izgubljenimi zobmi) in naraščajoča ozaveščenost o estetskemu vidiku zobozdravstva ter funkcionalni obnovi.
V naši ordinaciji v Ljubljani to pomeni, da imate dostop do najsodobnejših metod, čim hitrejši, manj invazivni posegi, kakovostni materiali in osebni pristop. Ob tem pa ostajamo zvesti tudi ugodnejši cenovni ravni, ker verjamemo, da si vsakdo zasluži zdrav in samozavesten nasmeh.
Z izbiro kakovostnih vsadkov in skrbjo za ustno zdravje ne pridobite le funkcionalnosti in lepega izgleda, temveč tudi dolgoročno investicijo v kakovost življenja. Zavedanje, da ste v rokah izkušenega tima z več kot 30‑letno tradicijo, je dodatna varnost, da bo vaša rešitev izvedena strokovno in premišljeno.

Zakaj se na posege s področja oralne kirurgije in implantologije naročiti pri Iskradent v Ljubljani?
Sodobni in kakovostni materiali
Ordinacija Iskradent je sodobno opremljena z vrhunsko opremo priznanih proizvajalcev, pri svojem delu pa prisegamo le na materiale, preizkušene kakovosti. Ni važno, ali potrebujete enostavno zobno zalivko ali izdelavo zahtevnih implantatov, vedno ste deležni najboljšega za vas.
Brez bolečin, oralna kirurgija in implantologija Ljubljana
Vsak poseg v naši ordinaciji se začne z lokalno anastezijo, nekatere posege opravljamo tudi v splošni anasteziji. Pred posegi, ki jih opravlja zobni kirurg, se preveri tudi pacientovo splošno zdravje, po operacijah pa pacienti, če je potrebno, prejmejo tudi antibiotik in analgetike.
Vsekakor pa noben pregled pri nas ne mine, da ne bi bili v rokah vrhunsko usposobljenega osebja, ki vse preglede in postopke opravi tako, da so kar najmanj neprijetni in hitri, vam pa je med njimi čim bolj udobno. Strah pred zobozdravnikom je torej pri nas popolnoma odveč.
Vas zanima več o oralni kirurgiji in implantologiji Ljubljana? Oddajte nam povpraševanje!



Top Ocene 8 ocen
odlično
super opravljena storitev
Izjemno prijazni in nežni, skrbijo, da je pacientu vedno prijetno. Toplo priporočam!
Zadovoljen
Dolgo sem odlašal, ker me je bilo strah, da bom izgledal kot un pes v reklami za pedigre. Ko ima tako bele in umetne zobe. Ker je bilo moje stanje nevzdržno, sem se le odločil, da je čas, da nekaj naredim, no pa sem mal spraševal okoli, pogledal mnenja na internetu in se odločil, da probam Iskra dent. Zdej mi je žal, da nisem prej šel popravit svoje zobe. Narejeno hitro, zelo lepo, ne izgleda prav nič umetno, naravna barva zob, olajšanje.
Odlično
Soseda me je sicer prepričevala, da naj si gre uredit zobe v Srbijo, češ, da je ceneje. Ampak ne hvala lepa, zaupam slovenskemu zobozdravstvu, kam naj pa po tem hodim, če bo kaj narobe? In na koncu ko sešteješ, potne stroške, nočitev in še kaj drugega, ugotoviš, da je v Sloveniji ceneje. No, po tem sem našla Iskra dent, prijazni, zelo hitro sem dobila termin in uredili so mi zobe, profesionalno, dober material, pa ugodno. Če bo še kdaj treba, se vidimo.
Odličen kirurg
Dr. Iskra je prijazen, strokoven, natančen in res top. Priporočam 100%!
Strokovno usposobljeno ....nPrijazno osebje odsestre pa vse do kirurga, resnično najboljši...nSIMPLE THE BEST.