14:00 - 20:30
14:00 - 20:30
14:00 - 20:30
14:00 - 20:30
14:00 - 20:30
1000, Ljubljana
Top Storitve
Samoplačniško peskanje poliranje ultrazvok zob Ljubljana
Vaš nasmeh je prva stvar, ki jo ljudje opazijo, zato je skrb za ustno higieno ključnega pomena. V zobni ordinaciji Čibej Miran v Ljubljani se zavedajo, da zdravje zob ni le stvar lepega izgleda, ampak tudi odraz splošnega zdravja. Na voljo je široka ponudba storitev, ki vključuje:
- redne preglede,
- odstranjevanje zobnega kamna
- in profesionalno čiščenje zob (samoplačniško peskanje poliranje ultrazvok zob Ljubljana).
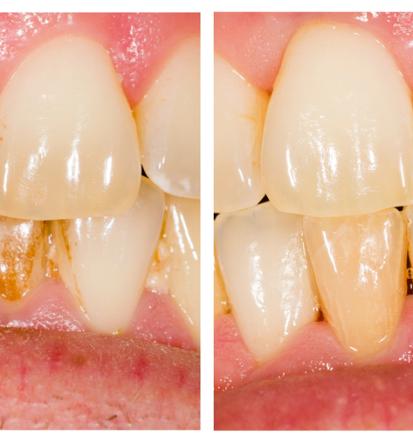
Profesionalno čiščenje zob, ki ga izvajamo s peskanjem, poliranjem in ultrazvokom, odstranjuje obloge, madeže in zobni kamen, ki jih običajno ne moremo odstraniti doma. Samoplačniško peskanje poliranje ultrazvok zob Ljubljana, zagotavlja temeljito nego zob, kar pripomore k bolj zdravim dlesnim in sijočemu nasmehu. Redno izvajanje teh postopkov je pomembno za preprečevanje zobnih obolenj, kot so karies, vnetje dlesni ali parodontoza.

Odstranjevanje zobnega kamna s samoplačniškim peskanjem, poliranjem, ultrazvok zob Ljubljana
V ordinaciji je velika pozornost posvečena ustni higieni. Pacientke in pacienti se naučijo pravilnega ščetkanja, uporabe medzobnih ščetk in nitk ter drugih pripomočkov za vsakodnevno nego. Prav to je temelj za ohranjanje zdravih zob in dlesni. Na voljo je tudi možnost nakupa darilnih bonov za storitev samoplačniško peskanje poliranje ultrazvok zob Ljubljana, kar je idealno darilo za vse, ki želijo poskrbeti za svoj nasmeh ali presenetiti bližnjega z izkušnjo profesionalnega čiščenja zob.
Samoplačniško peskanje poliranje ultrazvok zob Ljubljana, obsega tri osnovne korake:
- peskanje,
- poliranje
- in ultrazvok.
Peskanje odstrani površinske madeže in obloge, poliranje zmehča površino zob ter prepreči hitro ponoven nastanek oblog, ultrazvok pa učinkovito odstrani zobni kamen tudi na težje dostopnih mestih. Takšno celovito čiščenje je priporočljivo opravljati vsaj dvakrat letno, pri posameznikih z večjo nagnjenostjo k oblogam ali obstoječimi težavami pa tudi pogosteje.
Poleg rednih čiščenj dobra zobna ordinacija Čibej Miran nudi tudi dežurno službo za nujne primere, kar pomeni, da lahko pacienti računajo na strokovno pomoč tudi izven rednih delovnih ur. To je posebej pomembno za hude bolečine ali poškodbe zob, ki zahtevajo hitro posredovanje.
Poliranje, peskanje in ultrazvok, profesionalna nega zob Ljubljana
Študije so pokazale, da redno profesionalno čiščenje zob ne le izboljša videz nasmeha, ampak tudi zmanjšuje tveganje za bolezni srca in ožilja. Odstranjevanje oblog in zobnega kamna namreč preprečuje vnetje dlesni, ki je lahko povezano s sistemskimi boleznimi.

Darilni boni za samoplačniško peskanje poliranje ultrazvok zob Ljubljana
Če želite ohraniti zdrav nasmeh, izboljšati ustno higieno ali pa podariti nepozabno izkušnjo nekomu, je možnost nakupa darilnega bona za samoplačniško peskanje poliranje ultrazvok zob Ljubljana, odlična izbira. Z rednim obiskom in strokovnim pristopom k ustni higieni boste svojemu nasmehu zagotovili dolgo življenjsko dobo, sijaj in zdravje.
Zobna ordinacija Čibej Miran v Ljubljani je tako idealna destinacija za vse, ki cenijo strokovnost, profesionalnost in celovito nego zob, pri čemer je poudarek vedno na ustni higieni in zdravju zob.
Oddajte povpraševanje.

Ali ordinacija Čibej Miran ponuja profesionalno čiščenje zob?
Da, ordinacija izvaja samoplačniško peskanje poliranje ultrazvok zob Ljubljana, vključno z odstranjevanjem oblog, zobnega kamna in poliranjem za zdrave zobe.
Ali lahko kupim darilni bon za čiščenje zob?
Da, na voljo je darilni bon za samoplačniško peskanje poliranje ultrazvok zob Ljubljana, idealno darilo za zdrav nasmeh in dobro ustno higieno.


Top Ocene 7 ocen
premagan strah
strah pred zobozdravniki premagan takoj, ko sem stopila v ambulanto leto dni nazaj .. ekipa prijazna, potrpežljiva, prilagodljivi, hitro odzivni, zelo zadovoljna pri njih
V redu
Ne bom rekel, da z veseljem hodim, hodim ker pač moram, ampak tukaj se najbolje počutim, tudi dajo mi dovolj časa, ko vidijo, da kdaj kej ni v redu in to mi je super.
Prvič sem prišel v ordinacijo s kuponom pred približno tremi leti in od takrat naprej redno hodim na pregled/peskanje/poliranje/čiščenje s kuponom ali brez.nnFantastično opravljeno vsakič! Profesionalno in kvalitetno.nnNa sveder se nikoli ne bom navadil pri nobenemu zobozdravniku (bzzztt!), kvalitetni storitvi bom pa vedno zvest. Od osnovne šole dalje me nikjer niso tako dobro poservisirali kot tukaj :DnnHvala lepa, še naprej tako kot do sedaj in se vidimo naslednje leto na rednem pregledu/čiščenju 💪✌🤘
Odlično opravljena storitev ustne higiene, lepo obrazlozen postopek in natančno šciscena oba loka za ugodno ceno
Prvič sem ordinacijo obiskal preko kupona. Strah pred zobarji je bil pri meni kar velik. Nad storitvijo sem bil tako navdušen, da sem redna stranka že 3 leta. Poleg higiene smo opravili tudi popravek plombe. Tudi ta storitev je bila na visokem nivoju. Vsekakor priporočam obisk.